London police force is racist, misogynistic and homophobic, report finds — Stigmatis News

hitandrun1964's avatarRethinking Life

“Female officers and staff routinely face sexism and misogyny,” the report said. ByThe Associated Press LONDON —London policehave lost the confidence of the public because of deep-seated racism, misogyny and homophobia, according to an independent review commissioned after a young woman wasraped and killed by a serving officer. Police detain a woman during a protest[…]

London police force is racist, misogynistic and homophobic, report finds — Stigmatis News

View original post

Guilty CDC, Govt, MSM, Pharma.. all enforce SILENCE on 100% emerging proofs of Covid Vaccine Massacre

Schwab study proves the COVID vaccines are killing massive numbers of us

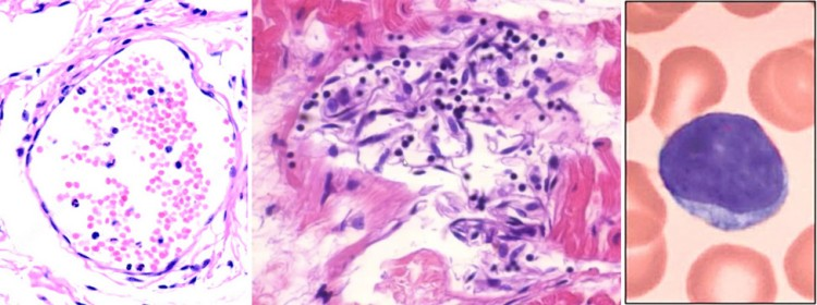
from thefreeonline by Steve Kirsch at Substack

Will the CDC ever acknowledge it? No way! Their evidence to debunk this study? None whatsoever. They simply ignore it. So does the mainstream medical community and the press.

Figure 1. The Schwab paper shows that the COVID vaccine causes antigen to be expressed by the heart causing the body to attack the heart leading to death. It’s that simple.

Executive summary

I’ve written about the Schwab paper before, but I wanted to put it all in an article to make it easy to reference.

Basically, this study, written by top German scientists and published in a prestigious German peer-reviewed medical journal, proves that the COVID vaccines kill people. They basically started with 35 bodies who died within 20 days of a COVID shot, and focused on 5 where no other cause of death could be ascribed. All 5 had similar findings consistent with a vaccine injury and inconsistent with any other known cause of death.

This suggests that at least 5/35 or 14% of people who die within 20 days of vaccination were likely killed by the vaccine. Note that is a lower bound.

Despite having world-famous pathologist Peter Schirmacher as the senior author on the paper, the Schwab paper will never be covered in the mainstream media anywhere in the world. It was published Nov 22, 2022 and ignored by the media.

A massive study, involving vaccine data from hundreds of countries, proves that the COVID-19 vaccines have caused a significant increase in total cases and deaths associated with COVID-19. The study proves that the COVID-19 vaccines are not only ineffective, but they are driving illness and death. 

Having more than 14% of the deaths 20 days after vaccination being caused by the vaccine should be an immediate stopping condition in any sane world.

But medicine today is dictated by politics, not science.

So the vaccine will continue to be recommended and nobody will be warned about how deadly the vaccine is.

HARD DATA PROVES BIG PHARMA KNEW COVID VACCINES WOULD WORSEN AND PROLONG THE PANDEMIC…

Introduction

This article on Peter McCullough’s Substack published on December 4 entitled Found Dead at Home after COVID-19 Vaccination points out that 71% of a random sample of people who died unexpectedly within 20 days of the vaccine and underwent an autopsy to determine the cause of death, died of a primary symptom that is caused by the vaccine.

If there was ever a stopping condition for an experimental intervention, that SHOULD do the trick shouldn’t it?

McCullough was describing the paper by Schwab: German scientists conclusively linked the COVID vaccine and sudden death for the first time.

From the paper:

“Our findings establish the histological phenotype of lethal vaccination-associated myocarditis.”

In plain English, it means that “the COVID shot kills people by damaging their heart.”

They looked at 35 patients; 10 were excluded as having died from pre-existing conditions, leaving 25 people.

Of the 25, the study found 5 which likely died exclusively from vaccine-induced myocarditis and no other case.

So they only examined the histopathology of five bodies (3 female, 2 male) who met the criteria of myocarditis and had no other likely cause of death because they were looking to assess whether the vaccine caused myocarditis leading to sudden unexpected death.

They basically were looking for the “cleanest” proof of death, but it’s likely that all 71% of the cases (25 out of 35) died from the vaccine, it’s just harder to “prove” that.

They pointed out that one of the 5 they investigated had herpes, but nobody ever dies from herpes so they left that patient in.

They found heart damage consistent with vaccine-induced myocarditis in all 5 cases that they examined in depth.

More interestingly is the death timing. The subjects were taken from a 20 day window, but the mean time to death was 2.5 days which matches what the Israeli MoH found in their study (see Figure 5).

“All [five] persons died within the first week following vaccination (mean 2.5 days, median 2 days).”

See Table 2 in the Schwab paper for the death timing of each case. If it was not related to the shot, it wouldn’t be clustered so close to the shot. It would be evenly distributed.

They wrote that they have NEVER seen anything like this before in any patient:

“During the last 20 years of autopsy service at Heidelberg University Hospital we did not observe comparable myocardial inflammatory infiltration.”

Continue reading “Guilty CDC, Govt, MSM, Pharma.. all enforce SILENCE on 100% emerging proofs of Covid Vaccine Massacre”

Putin blasts UK move to send ammo with depleted uranium to Ukraine

(Reuters) – Russian President Vladimir Putin on Tuesday condemned British plans to send tank ammunition that contains depleted uranium to Ukraine, saying Moscow would be forced to respond accordingly. Speaking in London on Monday, Minister of State for Defence Annabel Goldie said some of the ammunition for the Challenger 2 battle tanks that Britain is […]

Putin blasts UK move to send ammo with depleted uranium to Ukraine

Alfredo Cospito, his health deteriorates: “He had a heart attack and was dying. For him, irreversible damage”.

Updated on March 21, 2023 That’s what the doctor told Alfredo Cospito’s lawyer, Flavio Rossi Albertini Alfredo Cospito told the doctor accompanying him and who examined him today (03/21) that “he felt a tremor in his hand and alerted the guard. 

After ten minutes, the nurse and doctor arrived, yelling and saying they had seen a heart condition […]

Alfredo Cospito, his health deteriorates: “He had a heart attack and was dying. For him, irreversible damage”.

Jailed anarchist’s hunger strike exposes Italy’s harsh isolation regime

Rome] 41 arrested in solidarity with Alfredo Cospito

REBEL YELL: ‘Son Of Galway’, Che Guevara’s Basque & Irish Roots

 – “….Che was not only aware of his family background in Ireland and his families roots in Co. Cork, but that he was “deeply fascinated by the history of Ireland”, according to Berresford Ellis, who had met Che’s father, Ernesto Lynch.

Tell me about the IRA laddie's - Page 3 - AR15.COM

” The revolutionary could be killed but the revolution cannot be destroyed”

Furthermore, Che was but one of many descendants of the Irish Diaspora in Latin America that played a significant part in revolutions and social change that swept the America’s former Spanish colonies….His father Ernesto Guevara said in 1969: “The first thing to note is that in my son’s veins flowed the blood of the Irish rebels”

Recently on a visit to Galway l noticed down by the famous Spanish Arch by the harbour, a small monument had been put up to commemorate Christopher Columbus – a man with no connection whatsoever with Galway. l found it offensive that Galway City Council had decided, shamefully, to recognise a man who had helped start the genocide of indigenous peoples throughout the America’s in 1492.

l wondered why there was no memorial anyway to one of Galway’s most famous son’s, Ernesto “Che” Guevara Lynch (1928-1967), perhaps one of the world’s most famous revolutionaries, and at least connected to the town through his surname – the Lynch family were one of the famous 14 Tribes of Galway.

Che’s father’s surname, Lynch, is one of the most common throughout Ireland. It is unusual in that it has two completely distinct origins. The first is Norman, from de Lench, possibly derived from a place now forgotten. The family settled initially in County Meath and a branch then established itself in Galway, and became known as one of the Tribes of Galway.

The Gaelic origin for the name is from the Irish O Loinsigh, from Loinseach, meaning ‘Seaman’. This arose quite separately in a number of areas, including Clare/Limerick, Sligo, West Cork, Cavan, Donegal and the north Antrim/Derry region, where they were chiefs of the old kingdom of Dal Riada (originally from Munster) until medieval times.  

Che Guevara & Ireland's Quisling Capitalism

Most people seem to accept that Che’s grandmother, Anna Isabel Lynch, was born in the west of Co. Galway and eventually she moved to South America. Once there she met a man called Guevara, and they had a child they named Ernesto who was Che’s father.

On 29th August 1999, the historian Peter Berresford Ellis talked of Che’s Irish roots in a lecture given at the Desmond Greaves Summer School.

Apparently, Che was not only aware of his family background in Ireland and his families roots in Co. Cork, but that he was “deeply fascinated by the history of Ireland”, according to Berresford Ellis, who had met Che’s father, Ernesto Lynch.

Furthermore, Che was but one of many descendants of the Irish Diaspora in Latin America that played a significant part in revolutions and social change that swept the America’s former Spanish colonies.

An Phoblacht/Republican News published an extensive review of the role of the Irish Diaspora (including that of Che Guevara) in the history of Latin America by Berresford Ellis on 30th September 1999.

Irish postage stamp honours Che Guevara - YouTube

On March 13th 1965, the Irish Times journalist Arthur Quinlan interviewed Che at Shannon Airport during a stopover flight from Prague to Cuba. Guevara talked of his Irish connections through the name Lynch. He told Quinlan of his Grandmothers Irish roots in Galway.

Later, Che, and some of his Cuban comrades, went to Limerick City and adjourned to the Hanratty’s Hotel on Glentworth Street. According to Quinlan, they returned that evening all wearing sprigs of Shamrock, for Shannon and Limerick were preparing for the St. Patrick’s Day celebrations.

Another journalist in Co. Clare, Joe O’Muircheartaigh has written on the Irish roots of Che Guevara. He said how his father, Ernest Guevara Lynch, had put the revolutionary instincts which led Che to Cuba, the Congo and ultimately to death in Bolivia, down to his Irish ancestry.

“The first thing to note is that in my son’s veins flowed the blood of the Irish rebels”, he said in a 1969 interview. He went on: “Che inherited some of the features of our restless ancestors. There was something in his nature which drew him to distant wandering, dangerous adventures and new ideas”.

The Irish in Argentina

According to O’Muircheartaigh, Guevara’s Irish links can be traced to Galway and one Patricio Lynch, the founder of the Argentine branch of his family, was said to be born in Galway in 1715. From there he spent some time in Spain before eventually settling in Argentina. The Lynch name has been there ever since. O’Muircheartaigh speculates that Che’s came from the Kilkee area of West Clare. It is also claimed – although no evidence has been found – that Guevara had visited Kilkee as a young man – in his pre revolutionary days – in the company of his mother and spent some time in the old Victoria Hotel.

As for the surname Guevara, it is believed to be of Basque origin, and is derived from the place name Guevara which is located in the Basque province of Alava.

According to etymologists, the place name Guevara is derived from the Basque word “ebar” which means “fern or bracken”. The earliest record of the surname is that of a donation made to the Order of Calatrava by Vela Ladron de Guevara in 1288. He was a descendant of Count Ladron Velez de Guevara, Senor of the House of Guevara, who described himself as a “Prince of the people of Navarre”.

Against Established Law - Extramural Activity

Whether or not his great-grandmother or grandmother was born in Ireland, it is time that Che Guevara was recognised by the Irish nation (along with John Lennon) as one of it’s most famous sons.

http://www.fantompowa.net

Related posts

The final triumph of Che

FLASHBACK: ‘The Che Guevara of the IRA’ – the legend of ‘Big Joe’ McCann

REBEL YELL: The Death of Ché Guevara – By Bjorn Kumm

Why should US warmongers decide whether or not Kiev can negotiate a ceasefire??!

from thefreeonline on 2oth March 2023 by Lucas Leiroz at Aletho News

“..Once again it is clear that the Kiev regime is only a proxy in NATO’s war with Russia, having no authority to decide whether or not to continue fighting...”

By Lucas Leiroz | March 20, 2023

The announcement of Chinese President Xi Jinping’s visit to Moscow to meet Vladimir Putin is shaking Western war plans. After presenting a peace project, the Chinese government now demonstrates that it is considering Russian interests in the conflict as relevant, which is why the country’s president decided to go to Moscow.

As well known, peace and Russian interests are inadmissible points for the Collective West, which is why an important American official has already publicly declared that any Chinese peace proposal must be automatically rejected by Ukraine.

The case shows quite clearly that the neo-Nazi regime in Kiev is just a proxy for NATO, not having the capacity to decide sovereignly whether or not to negotiate an agreement.

According to John Kirby, spokesman for the White House National Security Council, any Chinese ceasefire proposal must be considered unacceptable after Xi Jinping’s visit to Moscow.

Kirby believes that the Chinese gesture and conversations with Putin in person before Zelensky demonstrate that Beijing is writing a peace proposal that takes into account only Russian interests, possibly seeking to ensure the preservation of Russian territorial gains so far. That, for Kirby, would make any dialogue unfeasible.

More than that, the spokesperson sees the growing Russian-Chinese cooperation as an attempt to end the “rules-based order” and reverse the legacy of post-WWII international society. According to him, Russia and China “don’t like” the order built by the “US and its allies” and want to rewrite the world according to new guidelines with the current partnership being a part of this process.

Continue reading “Why should US warmongers decide whether or not Kiev can negotiate a ceasefire??!”

mRNA Vaccine Contamination 100’s of times Worse than thought: Copies itself and expresses Spike Protein !

Jabs “Up to 35%” DNA That Turns Human Cells into Long-Term Spike Protein Factories

from thefreeonline on 19th March 2023 by WILL JONES at THE DAILY SCEPTIC 3

The contamination of mRNA vaccines with DNA is far greater than initially thought at up to 35%, and the DNA’s role in inducing human cells to produce the spike protein long term has been confirmed, according to the latest research.

Earlier this month, the Daily Sceptic reported on the work of Dr. Kevin McKernan and his team who had subjected the mRNA vaccines from Pfizer and Moderna to deep sequencing analysis and found alarming levels of DNA contaminants known as plasmids.

These are small circular DNA molecules that in principle can self-replicate in bacterial and human cells and induce the cell to produce the SARS-CoV-2 spike protein long term. Each vaccine dose was found to contain billions of these plasmids.

Dr. Jessica Rose: Spike Protein and Systemic Blood Clotting

The Moderna vaccine appeared to contain DNA contamination at around the ‘safe’ level set by the European Medicines Agency (EMA) at the equivalent of one part per 3,000 mRNA molecules, though it’s not clear how safe this level really is.

The Pfizer vaccine, on one hand, was found to contain DNA contamination at 10 times the ‘safe’ level, at one plasmid per 350 mRNA molecules.

Dr. Jessica Rose estimates each dose may contain trillions of these contaminated DNA molecules, 100 times greater than previously reported.

With each new revelation it becomes clearer that the ‘experimental’ Covid vaccines kill or maim far more of us than they save from a Covid 19 death.

VERIFY: COVID-19 survival rate.

This becomes obvious, although still difficult to prove, when we take into account on the one hand the fraud that nearly all “Covid deaths” were of very old people with ‘co-morbities’ and doctors and hospitals were rewarded for putting ‘Covid-19’ on the death certificates

On the other hand the moneyspinning ‘vaccines’ are clearly much worse than

the Covid virus itself if we count the ‘excess deaths’ from terrible spike protein damage to our immune systems, hearts, livers, brains, kidneys etc and if we include ‘excess miscarriages’, stillbirths and long term or permanent injuries.

Meanwhile all the new vaccine billionaires, medical establishment and all the media, politicians and elite who hold stock in the Covid Conspiracy are maybe celebrating in their magnificent mansions. Covid Billionaires busy screaming MISINFORMATION and sponsoring a whole industry of desperate media lies about those who try to reveal the truth, or maybe just sniffing cocaine in some sunny tax haven.

Maniac Pharma Scammers get OK for 4th Covid jab for kids under 5, even babies! – Billionaires in feeding Frenzy

The crimes against humanity of those who enforced the Covid conspiracy should one day be measured in billions of years of ‘excess extreme human suffering’.

see also…
…It was all a Lie: How the Establishment tricked the World into a Deadly Experiment that killed Millions through Midazolam Poisoning & COVID Vaccination

Continue reading “mRNA Vaccine Contamination 100’s of times Worse than thought: Copies itself and expresses Spike Protein !”